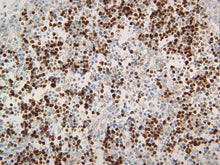
Feline lymph node stained with PAX-5, 40X
Feline lymph node stained with PAX-5, 10X
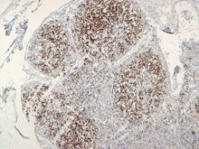
Canine lymph node stained with PAX-5, 40X
Canine lymph node stained with PAX-5, 10X
  • Load image into Gallery viewer, Feline lymph node stained with PAX-5, 40X
  • Load image into Gallery viewer, Feline lymph node stained with PAX-5, 10X
  • Load image into Gallery viewer, Canine lymph node stained with PAX-5, 40X
  • Load image into Gallery viewer, Canine lymph node stained with PAX-5, 10X

PAX-5

Regular price
$60.00
Sale price
$60.00
Regular price
$0.00
Sold out
Unit price
per 

IFU

DescriptionThis antibody recognizes the B-cell lineage-specific activator protein PAX-5 which is encoded by the PAX5 gene. The PAX5 gene is a member of the paired box (PAX) family of transcription factors that are important regulators in early development and alterations in the expression of these genes are thought to contribute to neoplastic transformation. The PAX-5 protein is expressed in the early, but not late stages of B-cell differentiation and influences B-cell specific genes CD19 and CD20.

PAX5 has been shown to be an excellent B-cell marker with excellent correlation to CD20 and due to its earlier expression in B-cell differentiation may exceed the specificity and sensitivity of CD20. PAX-5 does not stain T-cells.

Catalog: VMAB001

Clone: CHMP2015

Species Reactivity: Cat and Dog

Source: Recombinant Rabbit Monoclonal

Isotype: IgG

Antigen: Recombinant fragment of human PAX-5 protein between 230-390 amino acids

Cellular Location: Nuclear

Positive Control: Tonsil, spleen, or lymph node

 

References

  • Torlakovic, E., Torlakovic, G., Nguyen, P.L., Brunning, R.D. and Delabie, J. The value of anti-pax-5 immunostaining in routinely fixed and paraffin-embedded sections: a novel pan pre-B and B-cell marker. Am J Surg Pathol. 2002;26(10):1343-1350. [PMID: 12360049]
  • Willmann, M., Mullauer, L., Guija de Arespachochaga, A., Refinger, M., Mosberger, I., and Thalhammer, J.G. Pax5 immunostaining in paraffin-embedded sections of canine non-hodgkin lymphoma: A novel canine pan pre-B- and B-cell marker. Vet Immunol Immunopathol. 2009;128(4):359-365. [PMID: 19100628]
  • Desouki, M.M., Post, G.R., Cherry, D. and Lazarchick, J. PAX-5: a valuable immunohistochemical marker in the differential diagnosis of lymphoid neoplasms. Clin Med Res. 2010;8(2):84-88. [PMID: 20660931]

 

Bioinformatics

Entrez Gene ID: 5079
Gene Symbol: PAX5
SwissProt: Q02548

Images

Dog lymph node stained with PAX5 [CHMP2015]; 40X

 

Cat lymph node stained with PAX5 [CHMP2015]; 40X