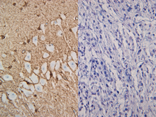
Description: S100 is a family of calcium-binding proteins that have been implicated in a variety of intracellular and extracellular functions. This antibody recognizes a specific epitope located on the beta-chain of S100A and S100B proteins, but not other family members like S100A0. S100A is composed of an alpha and a beta chain and S100B is composed of only beta chains, whereas S100A0 only contains alpha chains.
S100 proteins are expressed in a variety of normal cells including melanocytes, glial cells, chondrocytes, Langerhans cells, lipocytes, histiocytes, skeletal and cardiac muscle, and Schwann cells among others. Neoplasms derived from these cell types including melanomas, schwannomas, neurofibromas, histiocytoma, paragangliomas stromal cells and malignant peripheral nerve sheath tumors all express S100
S100 proteins have been shown to be expressed in nearly all melanomas (benign and malignant).
Catalog: VMAB010
Clone: CHMP005
Species Reactivity: Cat and Dog
Source: Rabbit RecombinantMonoclonal
Clone:
Isotype: IgG
Antigen: Recombinant full-length human S100B protein
Positive Control: Brain and Melanoma
References:



