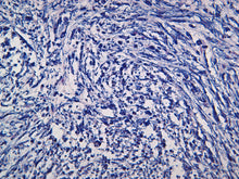
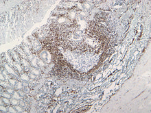
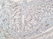
Description: This monoclonal antibody recognizes vimentin, which is the main intermediate filament protein present in cells of mesenchymal origin. This antibody does not show cross-reactivity with other closely related intermediate filament proteins such as Desmin and GFAP.
This marker has been shown to be helpful in labeling mesenchymal-derived tumors such as lymphomas, sarcomas, and melanomas. The expression of vimentin has also been suggested to be an indicator of tumor progression and potential for metastasis as a marker for epithelial-mesenchymal transition.
Catalog: VMAB004
Clone: CHMP029
Species Reactivity: Cat and Dog
Source: Recombinant Rabbit Monoclonal
Isotype: IgG
Antigen: Vimentin
Cellular Location: Cytoplasmic
Positive Control: Sarcomas and Melanomas
References:
- Leader, M., Collins, M., Patel, J., and Henry K. Vimentin: an evaluation of its role as a tumour marker. Histopathology. 1987;11(1):63-72. [PMID: 2435649]
- Martin e las Mulas, J., Espinosa de los Monteros, A., Carrasco, L., Van Niel, M., and Fernandez, A. Immunohistochemical distribution pattern of intermediate filament proteins in 50 feline neoplasms. Vet Pathol. 1995;32(6):692-701. [PMID: 8592805]
- Koenig, A., Wojcieszyn, J., Weeks, B.R., and Modiano, J.F. Expression of S100a, vimentin, NSE, and melan A/MART-1 in seven canine melanoma cells lines and twenty-nine retrospective cases of canine melanoma. Vet Pathol. 2001;38(4):427-435. [PMID: 11467477]
- Burgess, H.J., and Kerr, Kerr, M.E. Cytokeratin and vimentin co-expression in 21 canine pulmonary epithelial neoplasms. J Vet Diagn Invest. 2009;21(6):815-820. [PMID: 19901281]
- Johnson, G.C., Coates, J.R., and Wininger, F. Diagnostic immunohistochemistry of canine and feline intracalvarial tumors in the age of brain biopsies. Vet Pathol. 2014;51(1):146-160. [PMID: 24280940]
Bioinformatics
Entrez Gene ID: 7431
Gene Symbol: VIM
SwissProt: P09670



