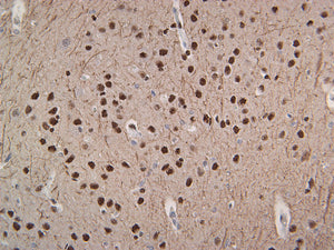
Description: This MAb reacts with the light-subunit of neurofilaments (NF-L), which is one of three major subunits. Neurofilaments primarily provide structural support for axons and dendrites found in neurons, peripheral nerves, and sympathetic ganglion cells.
Catalog: VMABXXX
Clone: CHMPXXX
Species Reactivity: Dog and Cat
Source: Recombinant rabbit monoclonal
Isotype: IgG
Antigen: Recombinant full-length human NEFL protein
Cellular Location: Cytoplasmic
Positive Control: Brain
References:
Bioinformatics:
Entrez Gene ID: 4747
Gene Symbol: NEFL
SwissProt: P07196


