IFU
Description: This monoclonal antibody targets the C-terminal (intracytoplasmic) epitope of CD20, which is a 33 kDa leukocyte surface antigen that plays a role in the development and differentiation of B-cells into plasma cells. Although CD20 has been shown to be expressed from pre-B-cells and persisting through B-cell maturation until differentiation into plasma cells it has also been reported in low levels on normal and neoplastic T-cells.
Studies have shown that CD20 is a reliable pan B-cell marker and in conjunction with a T-cell marker (CD3) for immunophenotyping B-cell lymphomas from T- and null-cell lymphomas.
Catalog: VMAB011
Clone: CHMP023
Species Reactivity: Dog and Cat
Source: Recombinant rabbit monoclonal
Isotype:
Antigen:
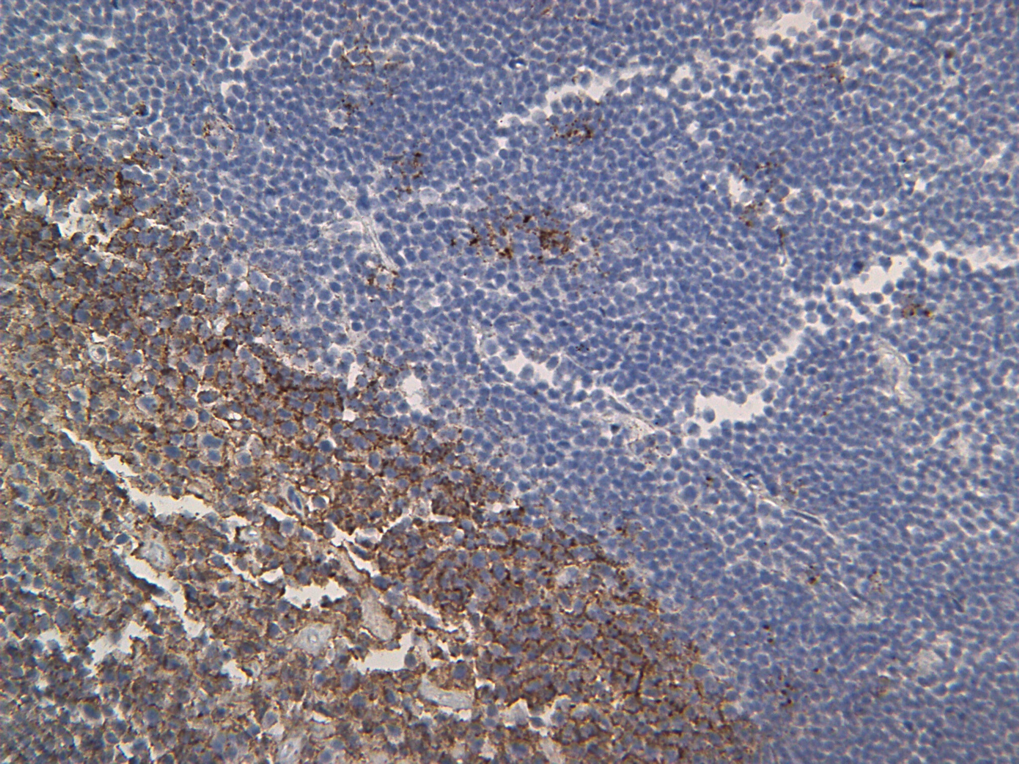
Positive Control: Lymph node, tonsil, or B-cell lymphoma
References:
- Tedder, T.F., Klejman, G., Disteche, C.M., Adler, D.A., Schlossman, S.F., and Saito, H. Cloning of a complementary DNA encoding a new mouse B lymphocyte differentiation antigen, homologous to the human B1 (CD20) antigen, and localization of the gene to chromosome 19. J Immunol. 1988;141(12):4388-4394. [PMID: 2461992]
- Coyle, K.A., and Steinberg, H. Characterization of lymphocytes in canine gastrointestinal lymphoma. Vet Pathol. 2004;41(2);141-146. [PMID:15017027]
- Jubala, C.M., Wojcieszyn, J.W., Valli, V.E.O., Getzy, D.M., Fosmire, S.P., Coffey, D., Bellgrau, D., and Modiano, J.F. CD20 expression in normal canine B cells and in canine non-hodgkin lymphoma. Vet Pathol. 2005;42(4):468-476. [PMID:16006606]

