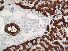
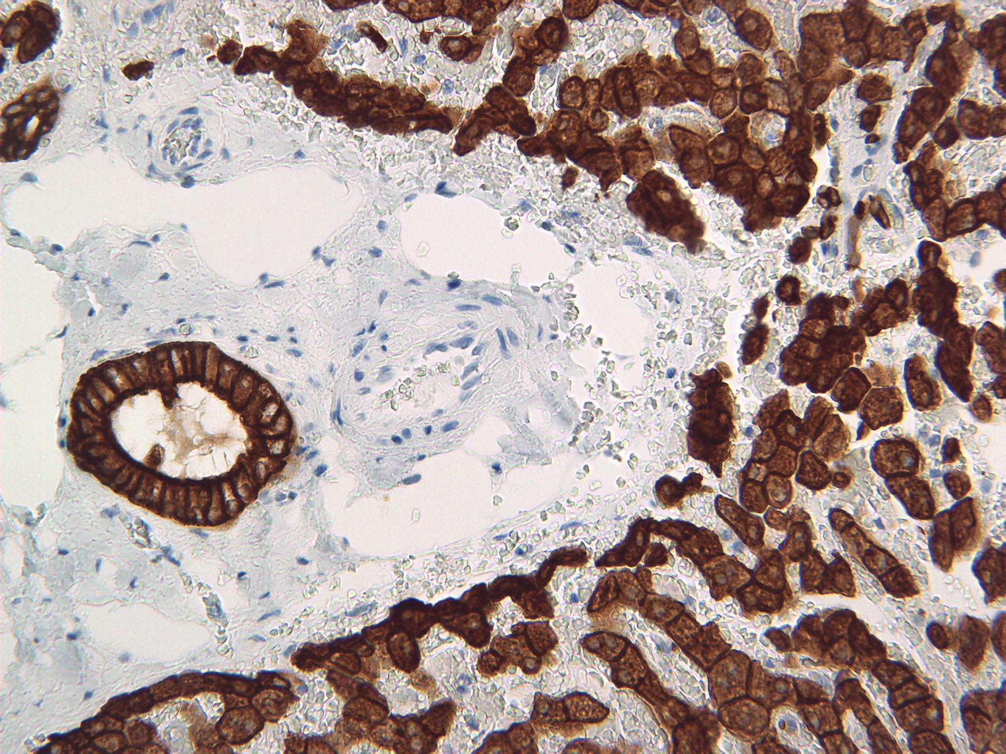
Description: This antibody is highly specific to cytokeratin 18 (CK18) and shows no cross-reactivity with other cytokeratins. CK18 belongs to the type I (or basic) subfamily of low molecular weight cytokeratins. CK18 often exists in combination with cytokeratin 8 and labels a wide variety of simple epithelia and epithelial tumors of the gastrointestinal tract, lung, breast, pancreas, ovary, and thyroid.
Catalog: VMAB008
Clone: CHMP018
Species Reactivity: Cat and Dog
Source: Recombinant rabbit monoclonal
Isotype: IgG
Antigen: Recombinant full-length human KRT18 protein
Cellular Location: Cytoplasmic
Positive Control: Colon and skin
References:
Bioinformatics:
Entrez Gene ID: 3875
Gene Symbol: KRT18
SwissProt: P05783



