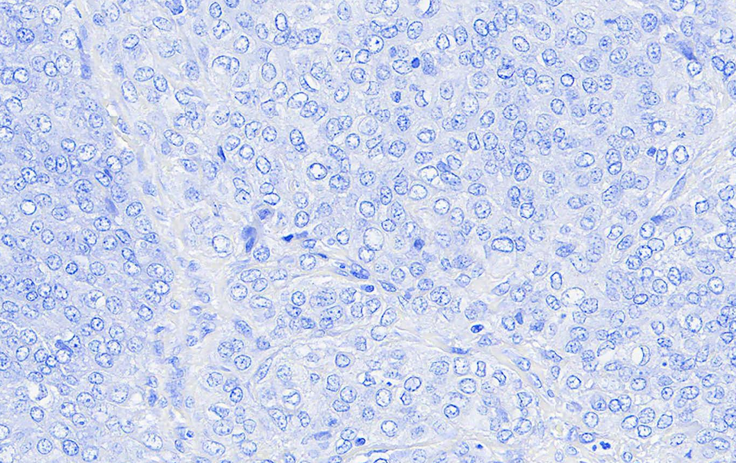
An Automated Hematoxylin is specifically designed for immunohistochemistry and other situations where a lighter blue nucleus is desired. It can be used for both paraffin and frozen sections and produces crisp blue nuclei enabling high contrast staining for DAB and AEC assays. Plays well with both manual and automated staining systems.
Can be paired with A Bluing Solution for bluing hematoxylin stained nuclei to a beautiful sky-blue nucleus.

