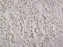
Description: This MAb recognizes the 62kDa protein PAX8. PAX8 is a member of the paired box (PAX) family of transcription factors and is involved in thyroid follicular cell development and the expression of thyroid-specific genes. PAX8 has been used as an additional marker for renal epithelial tumors due to its expression in renal tubules and renal cell carcinomas.
Catalog: VMABXXX
Clone: CHMPXXX
Species Reactivity: Dog and Cat
Source: Recombinant rabbit monoclonal
Isotype: IgG
Antigen: Recombinant fragment of human PAX8 protein (amino acids 60-261)
Cellular Location: Nuclear
Positive Control: Kidney
References:
Bioinformatics:
Entrez Gene ID: 7849
Gene Symbol: PAX8
SwissProt: Q06710

